Top 5 Signs You Might Be Ignoring About Your Gum Health Gum health is often overlooked in the grand scheme of oral hygiene. Many individuals focus on brushing and flossing their teeth, but healthy gums are just as crucial for overall dental well-being. The signs that something might be amiss with gum health can sometimes […]
Unveiling the Truth: Top 5 Myths About Periodontal Gum Disease Treatment Chaska Debunked
Top 5 Myths About Gum Disease Treatment Debunked Gum disease, also known as periodontal disease, is a common yet serious dental issue that affects millions of people. Unfortunately, misinformation surrounding its treatment can lead to unnecessary anxiety and avoidance of care. In this blog post, we will debunk the top five myths about gum disease […]
Unveiling the Truth Behind Dental Veneers: Top 5 Myths Debunked
Top 5 Myths About Dental Veneers Debunked Dental veneers have gained immense popularity as a cosmetic dentistry solution, offering patients the chance to achieve that perfect smile. However, with their rise in fame comes a plethora of myths and misconceptions that can cloud judgment. In this blog post, we will debunk the top five myths […]
Discover the Best Option for Your Smile with Dental Veneers or Teeth Whitening
Dental Veneers vs. Teeth Whitening: Which is Right for You In the quest for a radiant smile, many individuals find themselves weighing their options between dental veneers and teeth whitening. Both treatments offer unique benefits and can significantly enhance one’s appearance. However, understanding which option aligns best with personal needs requires careful consideration. This blog […]
Top 5 Essential Questions to Ask Your Dentist Before Getting Dental Veneers
Top 5 Questions to Ask Your Dentist Before Getting Veneers Choosing to enhance one’s smile with dental veneers is a significant decision that can lead to improved confidence and aesthetics. However, before taking the plunge, it is essential to gather all necessary information. Here are the top five questions to ask your dentist to ensure […]
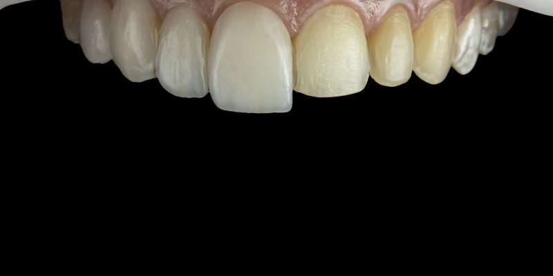
Discover the Various Types of Dental Veneers and Find Your Perfect Match
Exploring the Different Types of Dental Veneers Which One is Right for You When it comes to enhancing smiles, dental veneers have become a popular choice among patients seeking aesthetic improvements. These thin shells of porcelain or composite resin are designed to cover the front surface of teeth, offering a quick and effective solution for […]






